インプラントについて
骨の中に金属などを埋め込むことを総称してインプラントと呼びます。
歯を虫歯や歯周病、外傷などで失った場合などに、骨に直接、人工の歯(人工歯根)を埋め込む施術を行います。従来のブリッジの方法よりも歯に負担をかけません。
歯を虫歯や歯周病、外傷などで失った場合などに、骨に直接、人工の歯(人工歯根)を埋め込む施術を行います。従来のブリッジの方法よりも歯に負担をかけません。
インプラントはこういう方にオススメします。
健康な歯を削るのがいやな人
| 通常、歯が一本抜けた場合、両隣の健全な歯を削って、ブリッジしなければなりません。 | ![]() |
| インプラントなら両隣の健全な歯を削りません。 歯の抜けたところへインプラントを埋入し、 自然な歯の形を作ります。 |
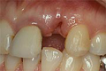
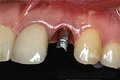
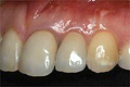
| ■施術前 | ■施術後 | |||
![]() |
![]() |
![]() |
||
| ■施術前 | ■施術後 | |||
![]() |
![]() |
![]() |
部分入れ歯が合わなくて悩んでいる人
| 部分入れ歯は不快感があったり、入れ歯を金具で固定するため、支えている歯に負担がかかる場合があります。 | ![]() |
| インプラントは歯の抜けたところへインプラントを埋入しますので不快感や支えている歯に負担がかかりません。 金具付きの入れ歯ではないので、自分の歯のように噛むことができます。 |
| ■施術前 | ■施術後 | |||
![]() |
![]() |
![]() |
入れ歯が動く人
| 入れ歯は噛みづらかったり、発音発声に不便を感じたりする場合があります。入れ歯をしっかり固定します。 | ![]() |
| インプラントは数本のインプラントを埋入し、そこに入れ歯を固定するため、よく噛むことができます。 |
![]() 治療前のお口の状態 |
![]() 治療前に使用中の入れ歯 |
![]() 下顎にインプラント植立し、安定装置をつけた状態 |
![]() 安定装置をつけた新しい入れ歯の内面 |
![]() 治療後の動かないでしっかりと安定した入れ歯 |

















