あなたの入れ歯が変わります!
その症状に対応する治療法を選択すれば、さらに快適な日常生活を過ごすことが出来ます。
あなたの症状にどの治療法が最適か、担当医にご相談ください。
コンフォートの特長
・かめる!…入れ歯と歯茎の間に物が挟まりにくい。
・はずれない!…いろいろなものを美味しく食べられる。
●コンフォートについての詳しい内容はコチラをごらんください。
スマイルデンチャーの特長
性に優れた全く新しい入れ歯、それがスマイルデンチャーです。 金具のない入れ歯(部分入れ歯)スマイルデンチャーは「目立たない」「丈夫」「噛める」「痛くない」など、入れ歯でいることを感じさせません。
また、スマイルデンチャーは、耐久性・快適性・審美性・噛む力・生体親和性(金属アレルギー等)に優れた全く新しい入れ歯です。
しかも無味・無臭で安定して食べ物を食べることができ、発音も自然になることができます。
従来のメタルクラスプのような金属バネを使った部分入れ歯(保険入れ歯)は、残った自分の歯に金具をかけて固定しますが、この金具がお口を開けた時にどうしても目立ってしまいます。また、入れ歯が合わなくなってくると、この金具が歯(残存歯)に負担をかけてしまいます。
スマイルデンチャーはこのような金具を使っていません。

また歯肉に近い色の素材を使っているので、入れ歯が入っているように見えません。スマイルデンチャーは外側から目立たないだけでなく、内側の金具もなくなるので、フィット感や舌感が良く、違和感も少なくなります。
しかも隙間が少ないため、入れ歯と歯肉の間に食べ物が入りにくくなります。
●スマイルデンチャーについての詳しい内容は「三和デンタルのスマイルデンチャー」をごらんください。
ミニインプラントの特長
ーバーデンチャーアタッチメントを利用することも高齢者にとっては負担が大きすきて断念されるケースが多いと思います。ミニインプラントは粘膜の上から直径1.8ミリというチタン合金でできた極細のネジ型インプラントを下顎の左右のオトガイ孔の間に4本埋入して予めインプラント体に付与されたボール状の頭とO-リング並びにキーパー(メタルハウジング)でデンチャーを固定する架撤維持装置です。
次のような方にお勧めです。

・入れ歯が動いて不快感のある方
・固いものやひっつくものを普通に食べてみたい方
・十分に噛めないので胃腸が弱い方。
・入れ歯を気にしないで思いっきり会話をしたい方
・入れ歯を気にしないで思いっきり笑いたい方
施術について
・治療は1回の来院で終了します。
・麻酔をして治療します。
・歯ぐきを切ったりしません。
・治療後すぐに食事が出来ます。
磁性アタッチメントの特長
磁石を利用して入れ歯を固定する『磁性アタッチメント』は、すっきりとした装着感の入れ歯を可能にしました。固定するためのバネがないため、装着方法も取り外しもずっと楽で、お口の中の違和感も軽減しました。
また応用としてインプラントの上部にこの装置を使用し、入れ歯の維持として使用することも可能です。適用条件として、ご自分の歯を使用する場合は根の治療がしてあり神経がないことが条件になります。
また、磁力だけでの維持が困難な場合は一部歯にひっかけるバネ(クラスプ)が必要になることもあります。


・部分床義歯、オーバーデンチャーに利用されることが多い。
・従来の装着方式に比べ、形がコンパクト。
・取り扱いが易しい。
・摩擦や破損が無く長期間の使用に耐える。
・古いタイプの義歯にも組み込め易い。
高性能の磁石と、磁石の力を維持するステンレス鋼との組み合わせで作られています。カップ型とサンドイッチ型の2種類のヨークがあり、デンチャーやアタッチメントの形に合わせて使い分けられています。 磁性アタッチメントは、バリエーションが豊富です。今後は従来の入れ歯との併用により、噛み心地のよい、丈夫で扱いやすいものへと開発が進むと思われます。
保険診療の対象外ですが、入れ歯の違和感に悩む方には、多少のご負担を超えるメリットがあります。
![]() |
![]() |
入れ歯を入れる前 |
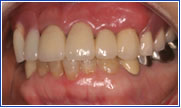
入れ歯を入れた状態 |


